پیشنهاد سردبیر
از تنگه هرمز تا فضای مجازی در همایش ملی مهندسی کامپیوتر

دبیر ششمین همایش پژوهش‌های نوین در مهندسی کامپیوتر عنوان کرد

رصدخانه مراغه؛ احیاکننده علم در دل ویرانی‌های مغول

یک استاد تاریخ و عضو هیئت علمی دانشگاه آزاد در گفت‌وگو با آناتک:

مقدار زیادی پلاستیک در شریان‌های بیماران مبتلا به سکته کشف شد

تصور کنید که ذرات ریز پلاستیک نه تنها در محیط اطراف ما، بلکه در بدن ما نیز حضور دارند. اکنون، یک مطالعه جدید نشان می‌دهد که این ذرات پلاستیک حتی در شریان‌های انسان‌هایی که دچار سکته مغزی شده‌اند نیز یافت می‌شوند – و مقدار آنها شوک‌آور است.

محققان برای اولین بار دریافتند که میزان میکروپلاستیک‌ها و نانوپلاستیک‌ها (ذرات پلاستیکی که اندازه‌شان کوچک‌تر از قطر یک تار مو است) در شریان‌های بیماران مبتلا به سکته مغزی ۵۱ برابر بیشتر از شریان‌های سالم است.

این مطالعه توسط دکتر راس کلارک، پژوهشگر پزشکی از دانشگاه نیومکزیکو، هدایت شده است. او یافته‌های خود را در جلسه انجمن قلب آمریکا در بالتیمور ارائه کرد.

دکتر کلارک توضیح داد: «در شریان‌های سالم و عادی نیز مقداری میکروپلاستیک وجود دارد، اما وقتی این شریان‌ها دچار بیماری می‌شوند – به‌ویژه با علائمی مانند سکته – میزان پلاستیک موجود در آنها واقعاً، واقعاً متفاوت است.»

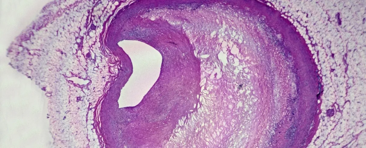
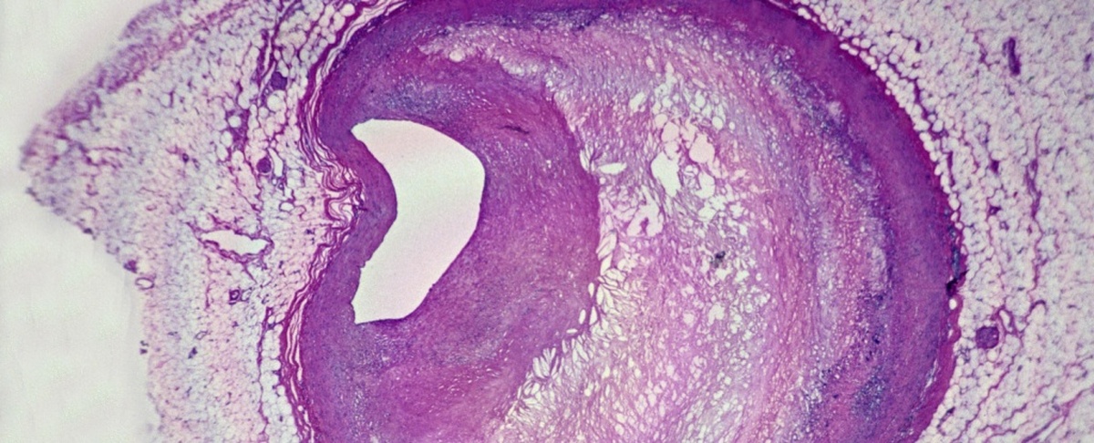
تیم کلارک نمونه‌هایی از شریان‌های کاروتید (شریان‌هایی که خون را به مغز منتقل می‌کنند) از ۴۸ فرد بررسی کردند. این شریان‌ها معمولاً محل تجمع پلاک‌های چربی هستند که می‌توانند جریان خون را مسدود کرده و منجر به سکته یا حمله قلبی شوند.

به گزارش sciencealert، در افرادی که هیچ علامتی از بیماری نداشتند، میزان پلاستیک در پلاک‌ها ۱۶ برابر بیشتر از دیواره شریان‌های سالم بود. اما در افرادی که دچار سکته، مینی-سکته یا از دست دادن موقت بینایی شده بودند، این میزان به ۵۱ برابر رسید.
این یافته‌ها حتی برای متخصصان نیز شوک‌آور بود. جیمی راس، نوروساینتیست دانشگاه رود آیلند که در این مطالعه مشارکت نداشت، پس از مشاهده نتایج گفت: «این واقعاً شگفت‌انگیز است. در تحقیقات من، حتی یک سیگنال سه برابر قوی‌تر نیز بسیار چشمگیر و قابل توجه است.»

چه اتفاقی در حال وقوع است؟
هنوز مشخص نیست که این پلاستیک‌ها دقیقاً چه کاری در بدن انجام می‌دهند، اما این مطالعه نشانه‌هایی ارائه می‌کند. تیم کلارک دریافتند که سلول‌های موجود در پلاک‌های پلاستیکی فعالیت ژنتیکی متفاوتی نسبت به سلول‌های فاقد پلاستیک دارند. در محیط‌های پر پلاستیک، یک گروه از سلول‌های ایمنی ژنی را که مسئول کاهش التهاب است، "خاموش" کرده بودند. همچنین، تفاوت‌های ژنتیکی در گروهی از سلول‌های بنیادی که به کاهش التهاب و تثبیت پلاک کمک می‌کنند، مشاهده شد.کلارک پرسید: «آیا ممکن است میکروپلاستیک‌ها بیان ژن‌ها را تغییر دهند؟»

این مطالعه هنوز تحت بررسی دقیق همتایان قرار نگرفته است، اما کلارک قصد دارد آن را در مجله علمی معتبری ارائه کند. یکی از چالش‌های اصلی این است که لیپید‌های موجود در پلاک‌ها می‌توانند به موادی شبیه به پلی‌اتیلن (پلاستیک رایج) تجزیه شوند.

کلارک گفت: «ما این مشکل را می‌دانیم و مراحل زیادی برای حذف لیپید‌ها و تأیید این موضوع انجام داده‌ایم تا مطمئن شویم که واقعاً پلی‌اتیلن را اندازه‌گیری می‌کنیم.»
کلارک در حال دریافت بودجه برای تحقیقات بیشتر درباره تعامل بین میکروپلاستیک‌ها و سلول‌های ایمنی در دیواره شریان‌ها است. او امیدوار است این تحقیقات را به شریان‌های دیگر گسترش دهد و آزمایش‌هایی روی حیوانات انجام دهد تا رابطه علت و معلولی را بررسی کند.

انتهای پیام/

ارسال نظر