ریه چپ شما از ریه راستتان کوچکتر است!
به گزارش خبرگزاری آنا، ریه عضوی حیاتی دستگاه تنفسی است که وظیفه اصلیاش دریافت اکسیژن از محیط و انتقال آن به جریان خون بدن انسان است. هوا هنگام تنفس، از طریق راههای تنفسی به ریهها وارد میرسد. ریهها همچنین در تنظیم pH خون نقش دارند.
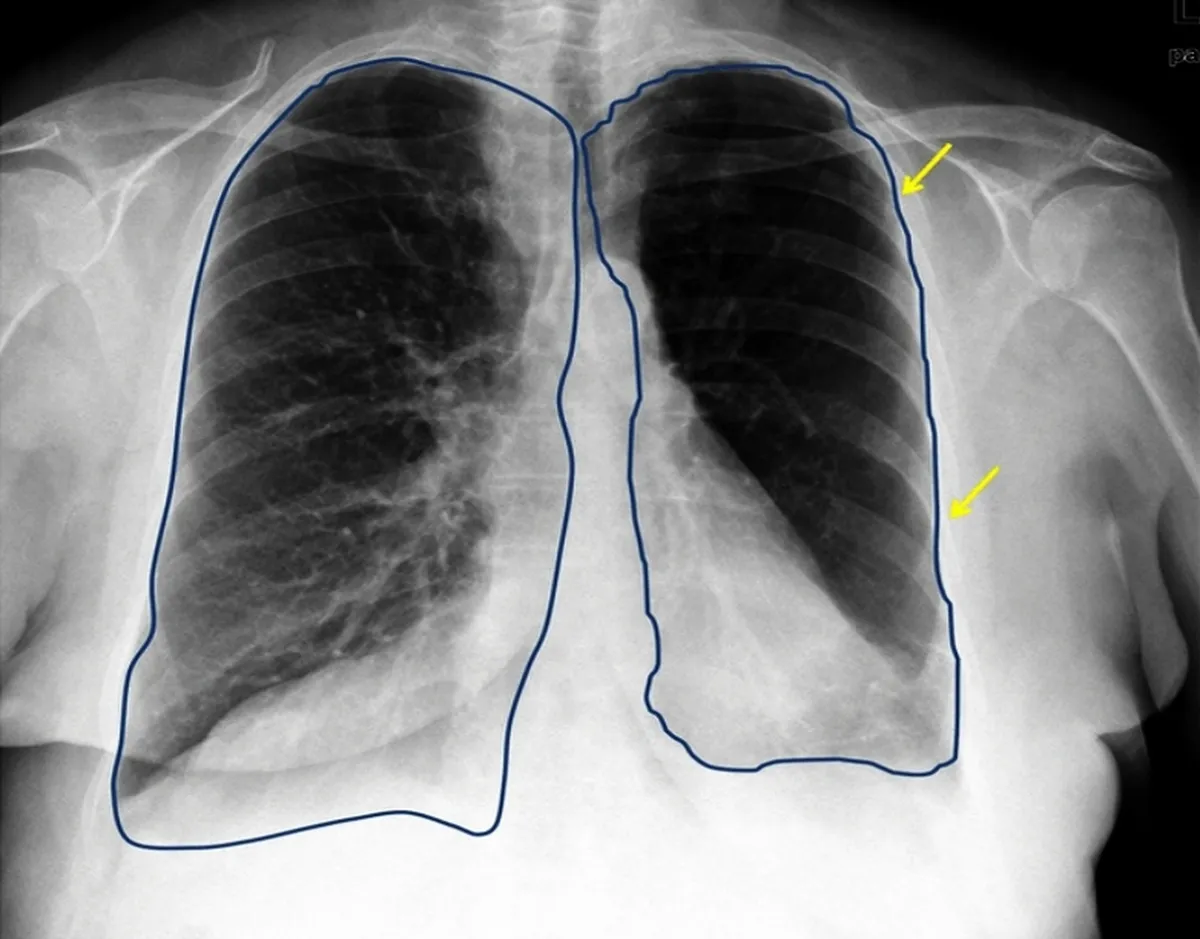
هر انسانی دارای دو ریه است. با این حال آیا میدانستید که ریه چپ شما کوچکتر از ریه راستتان است؟ ریه چپ حدود 10 درصد از ریه همسایهاش کوچکتر است. البته این تفاوت تصادفی نیست.
بدن انسان به شکل بسیار خاص طراحی شده است! قلب ما در سمت چپ قفسه سینه قرار دارد. به همین دلیل، ریه چپ باید فضایی برای قلب ایجاد کند و به همین علت هم هست که ریه چپ کوتاهتر از ریه راست است.
ریه راست دارای سه لوب است، در حالی که ریه چپ تنها دارای دو لوب است. لوبها بخشهایی از ریهها هستند که به تنفس کمک میکنند. هر لوب برای جذب اکسیژن و انتشار دی اکسید کربن کار خود را انجام میدهد. سه لوب ریه راست به آن اجازه میدهد فضای بیشتری برای دریافت هوا داشته باشد که برای تنفس مفید است.
اگرچه ریه چپ کوچکتر است، اما بازهم در تامین اکسیژن خون ما کار بسیار مهمی انجام میدهد و همکاری ریهها با یکدیگر است که ما را سالم و فعال نگه میدارد.

تنفس بخشی ضروری از حیات ماست و بدون آن شاید نتوانیم بیش از دقایقی زنده بمانیم. وقتی نفس میکشیم، هوا وارد ریههای ما و اکسیژن وارد خون می شود. هنگام بازدم، از شر دی اکسید کربن (که چندان به کارمان نمیآید) خلاص میشویم. این روند در هر لحظه از زندگی بیتوقف اتفاق میافتد، بدون اینکه حتی به آن فکر کنیم!
اندازه کوچک ریه چپ ممکن است عجیب به نظر برسد، اما سازگاری آن هوشمندانه است و به قلب ما اجازه میدهد تا در قفسه سینه جای بگیرد و در عین حال فضای کافی برای نفس کشیدن وجود داشته باشد.
انتهای پیام/
- تور استانبول
- غذای سازمانی
- خرید کارت پستال
- لوازم یدکی تویوتا قطعات تویوتا
- مشاوره حقوقی
- تبلیغات در گوگل
- بهترین کارگزاری بورس
- ثبت نام آمارکتس
- سایت رسمی خرید فالوور اینستاگرام همراه با تحویل سریع
- یخچال فریزر اسنوا
- گاوصندوق خانگی
- تاریخچه پلاک بیمه دات کام
- ملودی 98
- خرید سرور اختصاصی ایران
- بلیط قطار مشهد
- رزرو بلیط هواپیما
- ال بانک
- آهنگ جدید
- بهترین جراح بینی ترمیمی در تهران
- اهنگ جدید
- خرید قهوه
- اخبار بورس